Wat is autotransplantatie?
Wanneer een tand of kies nog in ontwikkeling is en de wortel nog niet volledig volgroeid is, kan de orthodontist deze verplaatsen naar een andere plek in de kaak. Dit proces noemen we autotransplantatie. Na het verplaatsen kan de tand of kies zich verder ontwikkelen, waarbij de wortel doorgroeit en de tand zich op een natuurlijke manier aanpast aan de nieuwe plek. Hierdoor groeit de tand mee met de kaak en kan hij later, indien nodig, orthodontisch worden verplaatst. Deze techniek kan in bepaalde situaties een goede oplossing zijn, bijvoorbeeld bij ontbrekende of beschadigde tanden.
In dit artikel
In dit artikel lees je alles over het verplaatsen van een tand of kies naar een andere plek in de kaak, oftewel autotransplantatie. We leggen uit wanneer deze behandeling een goede optie kan zijn en geven een praktijkvoorbeeld uit onze eigen orthodontiepraktijk. Klik op één van de onderstaande onderwerpen om direct meer te lezen:
Wanneer is autotransplantatie een goede optie?
Autotransplantatie kan in verschillende situaties een uitkomst bieden:
- Ontbrekende voortand
Wanneer een kind een voortand mist, bijvoorbeeld door een ongeluk, kan autotransplantatie een natuurlijke oplossing zijn. Hierbij wordt vaak een kies van een andere plek in de mond verplaatst naar de plaats van de verloren tand. - Geen implantaat bij kinderen
Bij kinderen die nog in de groei zijn, is een implantaat meestal geen geschikte optie. Een implantaat is een kunstwortel (schroef) in het kaakbot waarop een kroon of neptand wordt geplaatst. Omdat een implantaat vastgroeit in het bot, groeit het niet mee met de kaak. Na verloop van tijd kan het implantaat daardoor korter lijken dan de tanden ernaast. - Voordelen van autotransplantatie
Een groot voordeel van autotransplantatie is dat een eigen tand of kies omgeven is door een dun vliesje, het parodontaal ligament. Dit vlies zorgt ervoor dat de tand na verplaatsing kan vastgroeien, meegroeit met het bot én later orthodontisch te verplaatsen is indien nodig. Zo behoudt het gebit zijn natuurlijke functionaliteit.
Praktijkvoorbeeld van Ortho Fleur
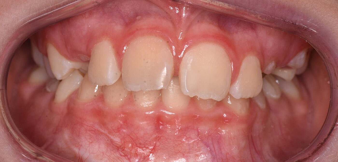
Een meisje van bijna 12 jaar oud kwam in onze praktijk nadat zij in het verleden een ongeluk had gehad waarbij haar rechter voortand ernstig beschadigd raakte. De tand was niet meer te redden en de verwachting was dat hij op de lange termijn verloren zou gaan. Na uitgebreid overleg met de ouders is daarom besloten om de tand te verwijderen en een kies uit de bovenkaak naar de plek van de voortand te verplaatsen.

Beginsituatie

Situatie na autotransplantatie (foto door Proclin)

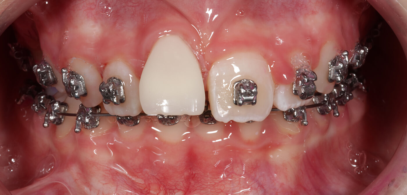
Situatie na tandopbouw (foto door Proclin)

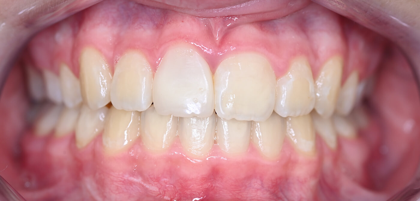
Eindresultaat
In samenwerking met Proclin
De behandeling voerden we uit in nauwe samenwerking met Proclin in Rotterdam. Ortho Fleur begeleidde het orthodontische deel van de behandeling, terwijl de autotransplantatie zelf werd uitgevoerd door dr. D.S. Barendregt van Proclin. Om de verplaatste kies zoveel mogelijk op een voortand te laten lijken, is deze door Proclin zorgvuldig opgebouwd met vulmateriaal.
De ruimte die vrijkwam door het verwijderen van de kies is orthodontisch gesloten. Deze gelegenheid hebben we meteen benut om ook de overbeet te corrigeren. Het resultaat is een mooi en functioneel gebit, waarbij de eigen tand behouden blijft en meegroeit met de kaak.




